Arthrosis of the knee joint (gonarthrosis)is a progressive chronic disease of the knee joints with damage, thinning and destruction of its cartilaginous part (articular surfaces of the femur and tibia), as well as damage to the subchondral bone.It has been proven by studies (arthroscopy and MRI) that in addition to damage to the articular cartilage, the menisci and synovial membrane are involved in the process.Gonarthrosis is one of the most common orthopedic pathologies.There are its synonyms - osteoarthritis (OA), deforming arthrosis.The disease is an important socio-economic problem, as it is widespread and significantly worsens the quality of life of patients due to constant pain and, in addition, becomes a cause of high disability.

Until the mid-eighties of the last century, there was no unified definition of the disease.It was not until 1995 that the osteoarthritis committee of the American College of Rheumatology characterized the disease as the result of mechanical and biological factors leading to an imbalance between the processes of degradation and synthesis of the extracellular matrix of articular cartilage.As a result, fiber disintegration and degeneration occur, cracks, osteosclerosis and compaction of the cortical layer of the subchondral bone are formed, osteophytes grow and subchondral cysts are formed.
Why does arthrosis of the knee joint occur?
Risk factors for arthrosis include:
- chronic traumatization (violation of physical activity, excess weight);
- endocrine, inflammatory, metabolic and ischemic diseases;
- the presence of congenital or acquired disorders of the relationships, shape or structural organization of the articular ends.
If you notice similar symptoms, consult your doctor.Do not self-medicate - it is dangerous for your health!
Symptoms of arthrosis of the knee joints
Osteoarthritis of the knee joint is characterized by:
- gradual onset;
- mild pain in the joint when moving, especially when going up and down the stairs;
- “tightening”, stiffness and “starting pain” that occurs during the first steps and decreases or disappears if the patient “diverges”, after significant physical activity it resumes.
- the appearance of the knee remains the same.Sometimes there is slight swelling or fluid accumulation in the joint.At the same time, the knee increases in volume, swells, becomes flattened, and movement restrictions and heaviness are felt.
Painful sensations
As the disease progresses, the pain becomes more intense, appearing even with minor exertion and long walking.Localized along the anterior-inner surface of the joint.Prolonged rest usually helps the pain go away.
Limited mobility of the knee joint and a characteristic crunch
With arthrosis, the range of joint movements may decrease, a crunch may appear, and sharp pain appears when the leg is bent to the maximum.
Knee deformity
The configuration of the joint changes, as if it is expanding.
Synovitis
Synovitis of the knee joint is an inflammation of the lining of the internal cavity of the joint.The disease manifests itself in the form of swelling of the knee, redness of the skin, and limited mobility of the joint.With the development of arthrosis, synovitis occurs more often, lasts longer and involves a large amount of fluid.
The last stage of gonarthrosis is distinguished by the fact that the pain becomes almost constant, causing anxiety not only while walking, but also at rest, and even at night, when patients have to look for a comfortable position to sleep.Movement is more limited: it is difficult to bend and straighten the leg completely.The joint becomes deformed and increases in volume.Valgus (X-shaped) or varus (O-shaped) deformity of the legs is often observed.The gait becomes unstable and waddles.In severe cases, a cane or crutches are needed.

According to researchers, 76% of older people who complain of knee pain have radiographs showing gonarthrosis.According to statistics, women are more often affected by the disease, which is associated with hormonal changes after 45 years.
Pathogenesis of arthrosis of the knee joints
There are primary and secondary osteoarthritis.
Primary arthrosis of the knee joint
- Articular cartilage is constantly destroyed and renewed; normally, these processes are balanced.With age, cartilage renewal slows down and destruction begins to predominate, which is called the process of degradation or degeneration.A person’s weight plays an important role, since with a mass of 70 kg in 20 steps we carry 700 kg on each leg (70 kg x 10 steps), and with a mass of 120 kg we already carry 1200 kg on each leg.Therefore, weak cartilage wears out much faster;
- it is necessary to remember: the joint receives nutrients and is restored while it moves;A sedentary lifestyle reduces metabolic processes, and the necessary elements do not reach the cartilage;
- There is controversial evidence about the hereditary role in the occurrence of the disease.If the parents had arthrosis, then the likelihood of its occurrence in children increases;
- occurs due to autoimmune synovial inflammation.
Secondary arthrosis of the knee joint
- injuries (fractures, meniscal and anterior cruciate ligament ruptures).Unfortunately, in any person, regardless of age, these injuries lead to excessive stress on the cartilage.A fracture of any part of the bones covered with cartilage is accompanied by the formation of an unevenness - a “step”.In this area, when moving, abrasion occurs and arthrosis forms;
- rheumatoid arthritis, Koenig's disease (osteochondritis dissecans), consequences of purulent inflammation in the joint (gonitis), etc.;
- regional vascular disorders;
- chronic exudative-proliferative and cicatricial adhesive processes in the joint.

With arthrosis (osteoarthrosis), in addition to the progressive destruction of cartilage, loss of its elasticity and shock-absorbing properties, bones are gradually involved in the process.Under load, sharp edges (exostoses) appear, which are mistakenly considered “salt deposits” - with classic arthrosis, no salt deposition occurs.As arthrosis progresses, it continues to “eat” the cartilage.Then the bone becomes deformed, cysts form there, all structures of the joint are affected, and the leg becomes bent.
In addition to the inner or outer part of the knee, arthrosis can also affect the surfaces between the patella and the intercondylar groove of the femur.This option is calledpatellofemoral arthrosis.
Its cause is usually a subluxation, fracture, or lateralization of the patella.

Classification and stages of development of arthrosis of the knee joints
Regardless of the cause, there are three stages of gonarthrosis, or deforming arthrosis of the knee joint.
Gonarthrosis, stage I
The first stage of the disease is characterized by primary changes in hyaline cartilage.Bone structures are not affected.The blood supply in intraosseous vessels and capillaries is disrupted.The surface of the cartilage becomes dry and it loses its smoothness.If the disease is accompanied by constant tense synovitis, then a Baker's cyst develops (hernial protrusion of the joint capsule of the popliteal region).After significant stress on the joint, dull pain occurs.There may be slight swelling that goes away after rest.There is no deformation.
Gonarthrosis, stage II
At the second stage, the cartilage layer becomes sharply thinner, and in some places is completely absent.Osteophytes appear along the edges of the articular surfaces.The qualitative and quantitative characteristics of the synovial fluid of the joint change - it becomes thicker, more viscous, which leads to a deterioration in its nutritional and lubricating properties.The pain is more prolonged and intense, and a crunching sound often appears when moving.There is a slight or moderate restriction of movement and slight deformation of the joint.Taking analgesics helps relieve pain.
Gonarthrosis, stage III
Lack of cartilage in most affected areas, severe sclerosis (hardening) of the bone, many osteophytes and a sharp narrowing or absence of the joint space.The pain is almost constant, gait is impaired.Mobility is sharply limited, and joint deformation is noticeable.NSAIDs, physiotherapy and other standard methods of treating knee arthrosis are ineffective.
Types of gonarthrosis
Depending on the number of affected joints, unilateral and bilateral gonarthrosis are distinguished.
Complications of arthrosis of the knee joints
The most common complication of stages II and III is tendovaginitis of the adductor muscle group of the thigh.This is manifested by pain along the inner surface of the joint, which intensifies with movement.The cause is muscle imbalance and deformation.With a long-term decrease in range of motion, contracture develops.In addition, synovitis often occurs.
Consequences of advanced gonarthrosis
Gonarthrosis affects the entire musculoskeletal system, disrupting the biomechanics of the spinal column and other large joints of the lower extremities.This can lead to herniated discs and arthritis of other joints.The second knee joint is overloaded (if the disease is one-sided), since the patient spares the sore leg, transferring the weight to the other, healthy one.
Diagnosis of arthrosis of the knee joints
Instrumental diagnosis of arthrosis of the knee joint
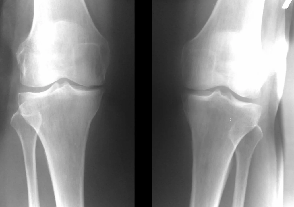
In the vast majority of cases, an examination and x-ray of the knee joint in two projections (direct and lateral) are sufficient.Clinical data and images help determine the stage of the disease.

In the early stages of the disease, with minor changes in bone tissue, X-ray examination is not so valuable.At this stage, gonarthrosis can be diagnosed through arthroscopy.The accuracy of the method is very high; only its invasive nature and price can stop it.
Ultrasound does not allow clear visualization of changes in articular cartilage and intra-articular structures.Using MRI, you can detect changes in the bone, cartilage and soft tissue structures of the joint, as well as subchondral bone, with 85% accuracy.Scintigraphy can be used to assess the metabolic activity of periarticular bone tissue.
Laboratory diagnosis of arthrosis of the knee joint
An increased content of phosphorus and calcium in dehydrated synovial fluid is evidence of the destruction of osteochondral tissue of the joint and the accumulation of degradation products.Blood is also examined - general analysis and erythrocyte sedimentation rate (ESR);determine the level of fibrinogen, urea and other biochemical parameters of blood and urine.
Is it possible to completely cure deforming arthrosis of the knee joint?
Gonarthrosis can be completely cured only at the earliest stage of the disease.
Which doctor treats deforming arthrosis of the knee joint?
A traumatologist-orthopedist or rheumatologist makes a diagnosis and prescribes treatment.
Treatment of arthrosis of the knee joints
Conservative — anti-inflammatory drugs, painkillers, muscle relaxants, vascular, chondroprotectors, compresses, kinesiotaping, physical therapy, physiotherapy, orthoses.
Minimally invasive- para-articular blockades (Novocaine + medication relieves pain and inflammation), injection of artificial lubricant into the joint itself, plasma lifting.
Surgical — arthroscopy (a low-traumatic method of treating intra-articular pathologies and removing damaged structures), endoprosthetics.
Drug treatment (drugs for the treatment of arthrosis of the knee joint)
Conservative methods are most effective at the initial stage of the disease.They help reduce pain and temporarily slow down the destruction of cartilage.At stage II, more effective methods are needed.The introduction of hyaluronic acid preparations into the joint cavity is used to reduce friction and trauma to the cartilage.There is no clear evidence for the restoration of cartilage, but it is good for lubricating surfaces.“PRP therapy” (plasmolifting) is the injection of platelet-rich plasma into the knee joint, which is obtained from the patient’s own blood by centrifugation.It nourishes cartilage and promotes its restoration, since autoplasma platelets contain numerous growth factors and cytokines that promote the regeneration of damaged tissue.
Surgical treatment and endoprosthetics
Endoprosthesis replacement is a common and effective surgical method for treating severe gonarthrosis, which allows you to maintain limb mobility and the ability to lead a full life subsequently.This is a high-tech operation lasting approximately one and a half hours.In the postoperative period, long-term rehabilitation and development of the joint are necessary.After 25-30 years, when the artificial joint wears out, it needs to be replaced again.

Physiotherapy and kinesitherapy
Methods of physiotherapy and kinesitherapy for the treatment of arthrosis of the knee joint are ineffective.
Diet therapy
A diet is only needed to maintain a normal weight; there are no restrictions on the consumption of certain foods for gonarthrosis.
Does blockade help with gonarthrosis?
For arthrosis of the knee joint, a para-articular block is used - an injection of the drug into the soft tissue around the joint.During the procedure, the area of inflammation and pain points near the joint are determined, the skin is treated with alcohol, and hydrocortisone with an anesthetic is injected into this area.
Therapeutic exercises for arthrosis
Therapeutic exercises are useful both for patients suffering from gonarthrosis and for the prevention of this disease.Effective exercises:
- full flexion and extension of the leg, lying on your back;
- Raising a straight leg up while lying on your back.
Forecast.Prevention
You need to understand that if arthrosis begins to develop, then it must be treated immediately.If you are at risk for this disease, you can delay the onset, for this it is recommended:
- reduce stress on the knee joint;
- swim - water relieves stress;
- massage the muscles of the lower leg and thigh yourself;
- avoid hypothermia and overwork;
- maintain normal weight;
- quit smoking and alcohol;
- women wear comfortable low-heeled shoes;
- do physical therapy
Before starting therapeutic exercises, you should definitely consult your doctor.Exercises are performed at a slow pace.If pain or discomfort occurs during gymnastics, exercises should be stopped.
It is necessary to use only effective drugs.Rubbing, compresses and other folk methods are ineffective; they do not act on the cause of the disease, but only help to distract from the pain.Avoid injuries and overload - jumping, carrying heavy objects, standing for a long time or sitting in an uncomfortable position.This accelerates the progression of the disease.
It is also necessary to promptly diagnose and treat rheumatoid arthritis, gout and systemic diseases.
What factors influence the long-term prognosis of knee arthrosis?
The prognosis depends on the stage at which the patient went to the doctor and the correct therapy.The sooner you start proper treatment, the higher the chances of avoiding surgery.






















